г. Москва, ул. Судакова 15
Подробнее
Это одно из наших профильных направлений, которое основывается на профессионализме имплантолога и применяемых технологий, которые позволяют имплантам стоять всю жизнь.
Имплантат – это искусcтвенный корень зуба, который при установке должен прижиться к собственной кости
Имплантация зубов ADN Premium Dental implant
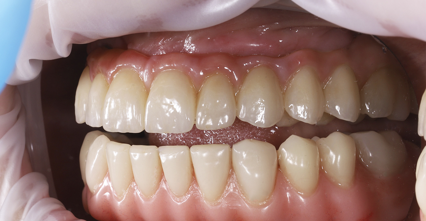
ПРОТЕЗИРОВАНИЕ НА ИМПЛАНТАТАХ ASTRA ИЛИ MEGAGEN
01
УСТАНОВКА ИМЛАНТОВ ПО ЦИФРОВОМУ ШАБЛОНУ
02
ИМПЛАНТЫ ПО СИСТЕМЕ ALL-ON-6
04
ИМПЛАНТЫ ПО СИСТЕМЕ ALL-ON-8
05
ЦИФРОВАЯ ДИАГНОСТИКА И КОНСУЛТАЦИЯ
06
03
ИМПЛАНТЫ ПО СИСТЕМЕ ALL-ON-4
ПРОТЕЗИРОВОВАНИЕ
Консультация
Какие импланты лучше выбрать?
Самый важный аспект, который максимально влияет на срок службы имплантата- приживление к собственной кости Второй важный момент – это долгий или пожизненный срок службы имплантата, который зависит от того насколько быстро будет уходить кость вокруг имплантата со временем.

Именно этим и различаются все существующие имплантаты. Мы специализирумся на лучших имплантационных системах Megagen и Astra tech
Консультация
Протезирование на имплантатах ASTRA ИЛИ Megagen
Это одна из самых сложных технологий, которые мы применяем в клинике. Установить импланты и их приживление – это 20 процентов успеха. А установка на них коронок по технологии – 80 процентов успеха. Мы протезировании мы применяем Аксиографию KAVO ARCUS DIGMA.

Это электронная диагностика и регистрация положения ВНЧС сустава и индивидуальных движений нижней челюсти относительно верхней. Относительно этого мы может определить размер форму и характер жевания у каждого пациента. Импланты не имеют подвижности как свои зубы и при некорректном изготовлении коронок долговечность протезирования составит 2-3 года и все придется переделывать.
Консультация
Установка имлантов по цифровому шаблону
Перед установкой имплантатов на основе компьютерной томограммы и всей цифровой диагностики изготавливается цифровой хирургический шаблон.

Он позволяет устанавливать имплантаты с максимальной точностью в заданном направлении. Это максимально сильно влияет на срок службы имплантатов и позволяет избежать осложнений при их приживлении
Консультация
Импланты по системе All-on-4
All-on-4 -это технология, которая включает установку четырех имплантатов на верхнюю или нижнюю челюсть и одновременно на них устанавливают временные несъемные зубы. Это минимальное кол-во имплантатов, которое необходимо для установки несъемных зубов. Это одна из самых сложных технологий в имплантологии и протезировании из-за того, что кол-во имплантатов критично мало и они устанавливаются под углом.

Тут необходимом изготовить протез на эти имплантаты с максимально правильным прикусом относительно ВНЧС сустава. Это технология применяется тогда, когда по разным причинам у пациента нет места для установки дополнительных имплантах или операции по увеличению объема кости под импланты невозможны.
Консультация
Импланты по системе All-on-6
По этой технологии устанавливается шесть имплантов на верхнюю или нижнюю челюсть. Эта технология намного надежнее чем all-on-4.

Протезирование происходит керамическими коронками в отличии от All-on-4, где используются композитные зубы (пластмасса). Безметалловые керамические коронки выглядят одинаково со своими зубами и это большое преимущество данной технологии
Консультация
Импланты по системе All-on-8
Эта технология занимает первое место по красоте, применяемым керамическим материалам и долговечности.

Устанавливается от восьми имплантатов на верхнюю или нижнюю челюсть. Это позволяет разделить керамические коронки на несколько мостов или сегментов в отличие от All-on-4 и All-on-6, где все коронки соединены в общую систему. Такое разделение позволяет выполнить протезирование на максимально эстетичном уровне, что подчеркнет ваши индивидуальные особенности лица.

Это самая красивое протезирование и максимально долговечное. Наши пациенты часто выбирают именно эту технологию
Консультация
Цифровая диагностика и консултация
На основе полной цифровой диагностики состояния кости и анатомических особенностей можно спрогнозировать необходимое направление и место для установки имплантата.

Когда мы складываем все результаты нашей цифровой диагностики зубов, то может спрогнозировать красоту при протезировании на имплантах и комфорт от их использования.

Компьютерное моделирование DSD, Аксиография ВНЧС сустава, диагностическое моделирование и изготовление временно прототипа будущих зубов- все это дает уверенность в правильной установке зубных имплантатов и их последующем протезировании.
Made on
Tilda