г. Москва, ул. Судакова 15
Подробнее
имплантация
MEGAGEN Any One
Megagen - это лучшая система в имплантации, которая не имеет аналогов в мире из-за своего покрытия x peed, которое состоит из биологичного покрытия ионов титана кальция.

Кость приживается к таким имплантатам быстрее остальных и не отторгается организмом.
ПРОТЕЗИРОВАНИЕ НА ИМПЛАНТАТАХ ASTRA ИЛИ MEGAGEN
01
УСТАНОВКА ИМЛАНТОВ ПО ЦИФРОВОМУ ШАБЛОНУ
02
ИМПЛАНТЫ ПО СИСТЕМЕ ALL-ON-6
04
ИМПЛАНТЫ ПО СИСТЕМЕ ALL-ON-8
05
ЦИФРОВАЯ ДИАГНОСТИКА И КОНСУЛТАЦИЯ
06
03
ИМПЛАНТЫ ПО СИСТЕМЕ ALL-ON-4
MEGAGEN ANY ONE
Консультация
Какие импланты лучше выбрать?
Самый важный аспект, который максимально влияет на срок службы имплантата- это приживление к собственной кости

Второй важный элемент – это долгий или пожизненный срок службы имплантата, который зависит от того насколько быстро будет уходить кость вокруг имплантата со временем.

Именно этим и различаются все существующие имплантаты. Мы специализирумся на лучших имплантационных системах Megagen и Astra tech, которые дают максимальный результат по приживлению к собственной кости и наиболее долгий срок службы имлантатов
Консультация
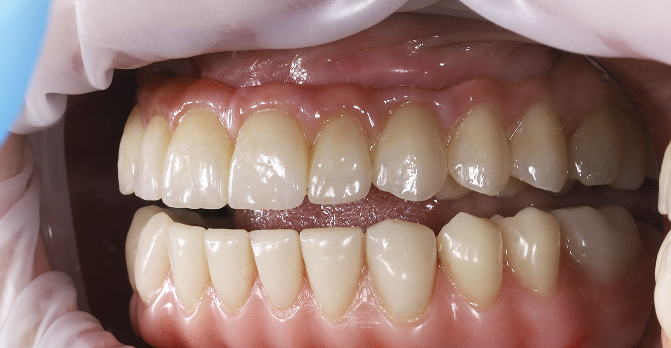
Протезирование на имплантатах ASTRA и Megagen
Это одна из самых сложных технологий, которые мы применяем в ADN Clinic.

Установить импланты – это 20 процентов успеха. А изготовит на них коронки – 80 процентов успеха.

Для того, чтобы имплантаты не пришлось менять в будущем мы изготавливаем керамические коронки с использованием технологии аксиографии KAVO ARCUS DIGMA.

Относительно этого мы может определить размер и форму зубов, а также характер жевания у каждого пациента.

Импланты не имеют подвижности, как свои зубы, и при некорректном изготовлении коронок импланты в течение 3-4 лет придется менять.
Консультация
Установка имлантов по цифровому шаблону
Перед установкой имплантатов на основе компьютерной томограммы и цифровой диагностики изготавливается цифровой хирургический шаблон.

Он позволяет устанавливать имплантаты с максимальной точностью в заданном направлении.

Это максимально сильно влияет на срок службы имплантатов и позволяет избежать осложнений при их приживлении
Консультация
Импланты по системе All-on-4
All-on-4 -это технология, которая включает установку четырех имплантатов на верхнюю или нижнюю челюсть и одновременно на них устанавливают временные несъемные зубы.

Это минимальное кол-во имплантатов, которое необходимо для установки несъемных зубов. Это одна из самых сложных технологий в имплантологии и протезировании из-за того, что кол-во имплантатов критично мало и они устанавливаются под углом.

Необходимо изготовить протез на эти имплантаты с максимально правильным прикусом относительно ВНЧС сустава. Это технология применяется тогда, когда по разным причинам у пациента нет места для установки дополнительных имплантатов или операция по увеличению объема кости под импланты невозможна.
Консультация
Импланты по системе All-on-6
По этой технологии устанавливается шесть имплантов на верхнюю или нижнюю челюсть. Эта технология намного надежнее чем all-on-4.

Протезирование происходит керамическими коронками в отличии от All-on-4, где используются композитные зубы (пластмасса).

Безметалловые керамические коронки выглядят как свои зубы. А керамика самый биоинертный материал, который максимально дружественно воспринимается нашим организмом
Консультация
Импланты по системе All-on-8
Эта технология занимает первое место по эстетике и надежности.

Устанавливается от восьми имплантатов на верхнюю или нижнюю челюсть. Это позволяет разделить керамические коронки на несколько мостов или сегментов в отличие от All-on-4 и All-on-6, где все коронки соединены в общую систему.

Такое разделение позволяет выполнить протезирование на максимально эстетичном уровне, что подчеркнет ваши индивидуальные особенности лица.

Это самое красивое протезирование и максимально долговечное. Наши пациенты часто выбирают именно эту технологию
Консультация
Цифровая диагностика и консултация
На основе полной цифровой диагностики состояния кости и анатомических особенностей можно спрогнозировать необходимое направление и место для установки имплантата.

Когда мы складываем все результаты нашей цифровой диагностики зубов, то может спрогнозировать красоту при протезировании на имплантах и комфорт от их использования.

Компьютерное моделирование DSD, Аксиография ВНЧС сустава, диагностическое моделирование и изготовление временно прототипа будущих зубов- все это дает уверенность в правильной установке зубных имплантатов и их последующем протезировании.
Made on
Tilda